• 患者服务: 与癌共舞小助手
  • 微信号: yagw_help22

QQ登录

只需一步,快速开始

开启左侧

紧急求助!第一次来论坛,父亲EGFR18号外显子突变,G719A,求问下一步办法

  [复制链接]
23967 19 blacktoes 发表于 2025-11-14 12:06:09 |

马上注册,结交更多好友,享用更多功能,让你轻松玩转社区。

您需要 登录 才可以下载或查看,没有账号?立即注册

x
本帖最后由 blacktoes 于 2025-11-16 13:19 编辑

补充最新情况:病人目前还大概率出现了脑膜转移,目前很纠结,是先全身治疗稳定病情再单独治疗脑膜转移,还是同步全身治疗和脑膜转呢?脑膜转出现后现在的白紫方案还有效吗?我很害怕现在的治疗对脑膜转无效。


我是患者家属,患者患病情况如下:
去年9月查出肺腺癌,后续阿法替尼治疗了7个月到25年4月份,中间发生骨转脑转,4月份换三倍伏美替尼一个半月,检查依然进展,发生肝转,6月份又做基因检测,结果我放在附件,7月初开始卡铂➕培美➕依沃西治疗四周期,检查结果好转,后依沃西单独治疗一周期后再次进展,现在病人双肺肿瘤多发,累及呼吸道,呼吸困难乏力,难下床,食欲尚可。医生最后建议白蛋白紫杉醇或者安罗替尼,但是应答率预计很低。6月,8月,9月,11月肺部ct我也按顺序放到附件,请好心人帮忙看下,感恩不尽!详细病历在下面。

病历:
主诉:外院确诊左肺下叶肺腺癌
患者2024-09因“咳嗽、背痛”就诊,
2024-09-06查胸部增强CT:左下肺门区占位伴远端阻塞性肺炎;2.双肺多发大小不等结节、纵隔多发肿大淋巴结,考虑转移。扫及胃底部胃壁增厚,周围稍大淋巴结;
2024-09-10查头颅MRI:未见转移灶征象。
2024-09-10 查病理:(左下肺占位经支气管镜活检)非小细胞癌,结合免疫组化符合低分化腺癌。免疫组化:
CK7(+),P40(-),TTF-1(+)。
2024-09-16 外院行颈部增强CT:两侧颈根部及纵隔内肿大淋巴结,结合病史,考虑转移:
2024-09-14外院查全身骨扫描:未见明确骨异常放射性浓聚征象。
2024-09-20查基因检测(石蜡块+对照血):EGFR18外显子 p.G719A突变、EGFR扩增、CDKN2A突变、CTNNB1突变。PD-L1:阴性
(TPS2024-09-24开始口服阿法替尼40mg qd治疗。
2024-10-24肿瘤医院复查胸部增强CT:左肺下叶大血管旁占位,双肺多发微结节,除外转移;左肺上叶及下叶片状磨玻璃密度影,考
虑占位及肿大淋巴结所致阻塞性炎症;纵隔内左肺门多发淋巴结,观察;T3-T7椎体斑点及斑片高密度影,右第5-8及左侧第6肋骨局部斑点
状高密度影,转移?
2024-10-25肿瘤医院复查超声:双颈部及双侧锁骨上多发结节,考虑M;右侧腹股沟结节,密切观察;左侧腹股沟淋巴结稍大,观
察:
2024-10-25肿瘤医院复查脑增强核磁:脑白质异常信号,Fazekas1级。脑桥异常T2信号,伪影可能。
2024-10-28肿瘤医院复查腹盆增强CT:右肾低密度灶,并斑点状钙化;脾脏内上结节,考虑副脾;
2024-10-29 医院ECT:T2-6节段胸椎、右侧第2肋骨投影区及右侧髂骨多发异常浓聚增高灶,结合病史考虑存在骨转移可能;
2024-11月评效??.
2025-01-13脑增强MR:右侧脑室后角旁、左侧脑室下角旁、右侧顶叶脑沟裂斑点状强化,考虑转移可能。
2025-01-13外院行颈部+腹部+甲状腺超声:双侧腹股沟区淋巴结;双侧颈部淋巴结;双侧锁骨上多发淋巴结;双侧甲状腺囊实性回声结
节.
2025-01-14外院行胸部CT:对2024-9-6CT:左下肺占位伴远端阻塞性肺炎,较前范围明显缩小,双肺转移缩小,骨转移,胃底淋巴结缩小.
2025-01-22本院影像会诊:阅外院2025-1-13头颅MR增强扫描片:1.双侧侧脑室旁微小强化结节灶,考虑转移可能性大,追查。2.轻度脑白
质脱髓鞘改变。
2025-03-01近期复查脑MRI,颅内病灶略增大2mm-4mm。
2025-03-25行脑转移灶SRS放疗,放疗计划:95%PGTV,右侧脑室后脚转移灶,20Gy/1次。
2025-04-23复查MRI示:原右侧脑室后角环形强化结节,放疗后,较前缩小。左侧脑室颞角旁见斑点状强化灶,较前增大,5mmx3mm;右侧小脑及左侧额叶新见小片及点状强化灶。
2025-04-27 开始三倍伏美替尼治疗。
2025-05-27 复查脑MRI示:右侧小脑及左侧脑室颞角旁结节较前稍增大。余左侧额顶叶结节同前。
2025-05-28评效PD。
2025-06-12今日放疗:95%PGTV1,左侧颞叶转移灶,20Gy/1次;95%PGTV2,左侧脑室颞角旁转移灶,20Gy/1次;95%PGTV3,右小
脑转移灶,20Gy/1次
2025-06-12口服阿法替尼40mg qd至今
2025-06-16脑放疗结束,患者近期咳嗽频繁并加重;
2025-06-19 本院PET-CT:左肺下叶肺门旁肿物,符合肺癌疗后表现;伴远端阻塞性炎症;双肺弥漫多发结节伴轻度代谢,考虑转移;右肺下叶癌性淋巴管炎可能大。右颈部、双锁骨区、左侧胸肌间、纵隔及双肺门多发淋巴结伴高代谢,考虑转移可能大;双颈部另见淋巴结伴轻度代谢,性质待定。肝S4高代谢灶,考虑转移。骨多发高代谢灶,考虑转移;左股骨头高密度结节,未见高代谢,请对比疗前影像。
2025-07-08完成C1:PC+依沃西单抗
2025-07-08外院行左肺下叶新生物穿刺活检,病理示:腺癌;组织基因检测:EGFR18 pG719A突变、CDKN2A突变、EGFR扩增;PD-L1
(22C3)TPS=1%;
2025-07-29本院完成C2C+依沃西单抗
2周期后本院复查:
2025-08-01本院复查骨盆平扫CT:骨盆多发高密度灶,考虑骨转移成骨性改变;左股骨头高密度结节,骨转移可能,需鉴别骨岛;
2025-08-02本院复查超声:双锁骨上淋巴结,M?右颈部淋巴结,观察
2025-08-02本院复查头颅增强MRI:脑内多发转移部分较前饱满、部分同前、部分缩小;斜坡、左侧顶骨不规则强化灶范围增大或新见,
转移可能;右上颌窦炎较前加重。
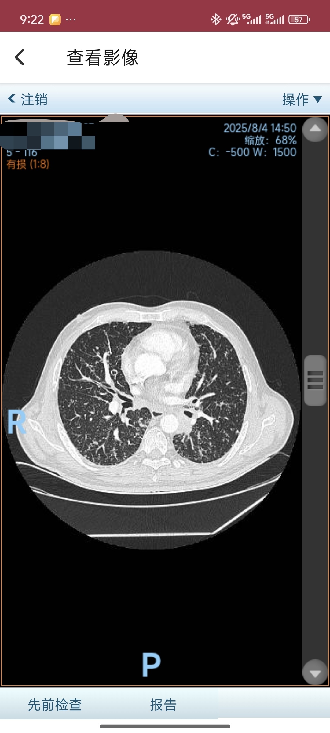
2025-08-04本院复查胸部CT:左下肺癌疗后改变伴远端肺内阻塞性炎性灶,双肺癌性淋巴管炎伴多发转移,部分缩小;纵隔、双肺门、锁
骨上区及胸肌间多发淋巴结缩小,密切追查;左侧极少量胸水同前;少量心包积液同前;多发骨转移同前。
2025-08-07本院复查腹部增强CT:肝S2结节,转移?右肾上极肿物,AML可能;脾脏内侧小结节,副脾;胸腰段多发椎体异常密度,考虑
骨转移。
2025-09-22行C4培美卡铂依沃西治疗
2025-09-24 本院复查头颅MRI:脑内多发转移部分同前、部分缩小;斜坡、左侧顶骨不规则强化灶同前,转移可能
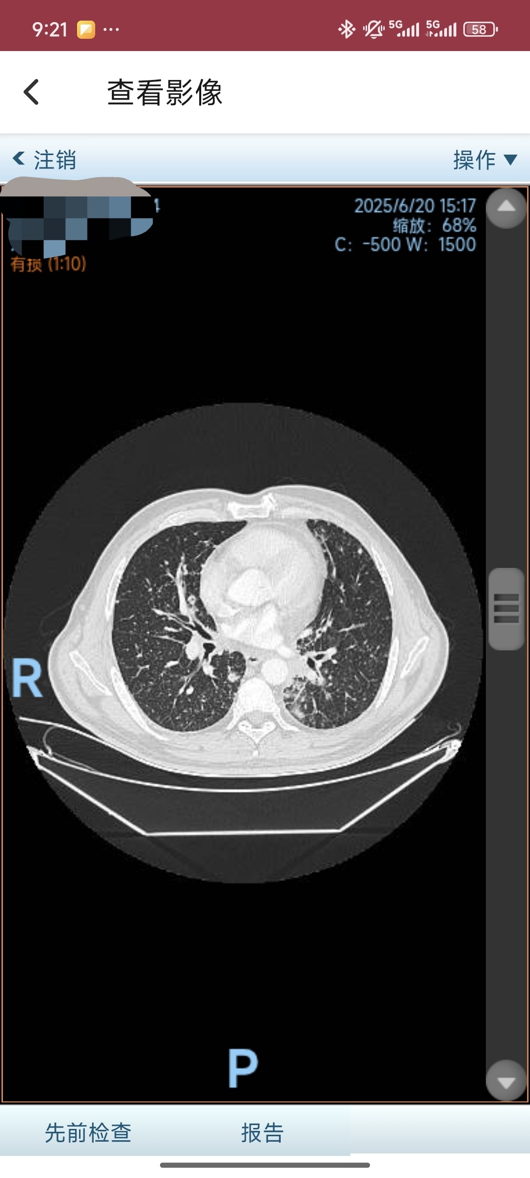
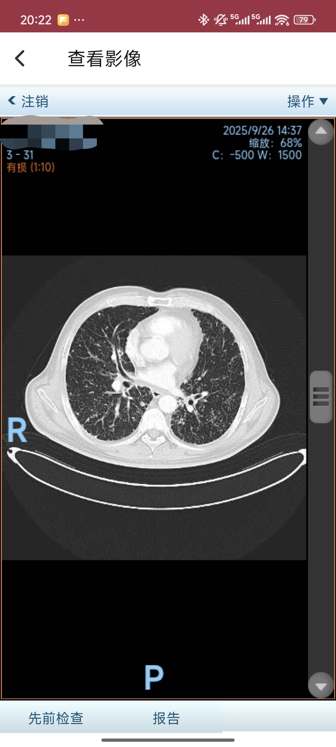
2025-09-26 本院复查胸部CT:左下肺癌缩小,远端肺阻塞性炎症同前;双肺癌性淋巴管炎伴多发转移部分缩小;纵隔、双肺门、锁骨上区
及胸肌间多发淋巴结缩小;少量心包积液同前;多发骨转移同前。
2025-09-28 本院复查腹部增强CT:肝S2结节较前缩小,转移疗后?胸多发骨转移疗后,部分密度增高;右肾上极肿物同前,AML可能;
脾脏内侧小结节同前,副脾。
2025-10-21本院单药维持1周期:依沃西单抗1500mg,治疗后乏力、食欲减退、憋气、呼吸困难、后背、胸部疼痛较前加重
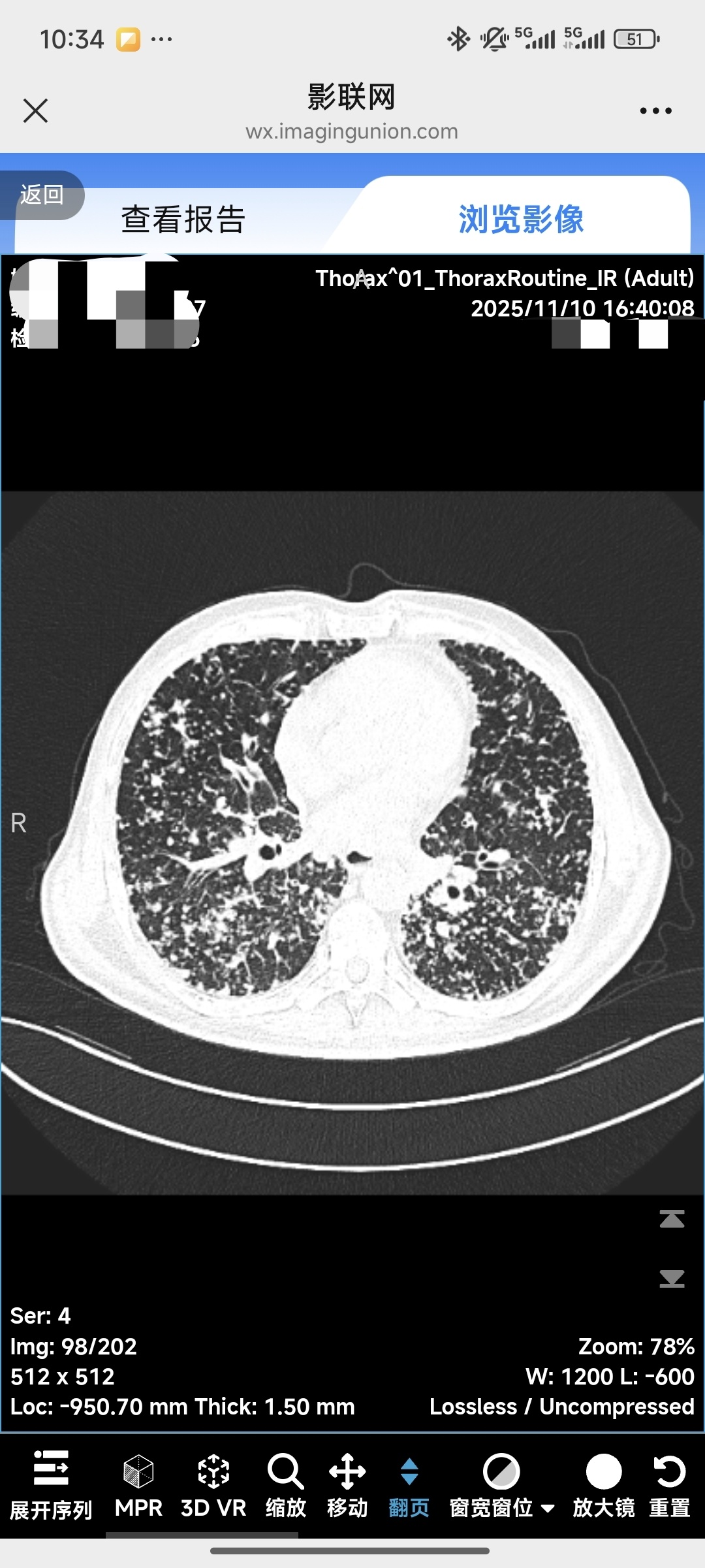
2025-11-10外院复查胸部CT。双肺较前进展
既往史:吸烟史,10支/天*35年。高血压,控制稳定。糖尿病,控制稳定。否认食物及药物

                               
登录/注册后可看大图


                               
登录/注册后可看大图


                               
登录/注册后可看大图


                               
登录/注册后可看大图


                               
登录/注册后可看大图


                               
登录/注册后可看大图


                               
登录/注册后可看大图


                               
登录/注册后可看大图


                               
登录/注册后可看大图

19条精彩回复,最后回复于 2025-11-21 17:18

累计签到:76 天
连续签到:1 天
[LV.6]超级爱粉
火爆鸳鸯C28  大学一年级 发表于 2025-11-14 13:32:28 | 显示全部楼层 来自: 中国
在经历了多线治疗后,肿瘤的驱动基因“EGFR G719A + EGFR扩增”并未改变,没有出现常见的旁路耐药机制,也没有发生组织学转化,有点棘手。

但是报告中最突出、也可能是最有价值的一个发现是:“检出 DDR 通路基因突变:提示 PD-1/PD-L1 抑制剂获益率高”。也就是说,当这个通路发生突变时,肿瘤细胞自身的DNA修复能力会下降。这会带来两个重要影响:
1.对某些化疗和靶向药更敏感:特别是铂类药物(如卡铂)和PARP抑制剂。
2.可能对免疫治疗更敏感:因为积累的大量基因突变会产生更多“新抗原”,更容易被免疫系统识别。

仅代表个人,首选建议:与主治医生探讨PARP抑制剂联合方案:PARP抑制剂 + 化疗:例如
奥拉帕利/尼拉帕利 + 低剂量的白蛋白紫杉醇或吉西他滨。化疗负责造成DNA损伤,PARP抑制剂阻止损伤修复,形成协同杀伤效应。
PARP抑制剂 + 抗血管生成药物:例如 奥拉帕利 + 安罗替尼。这种无化疗组合可能耐受性更好,同时攻击肿瘤的两个不同弱点。

另外紧急处理呼吸困难:姑息性放疗是目前最快、最有效的缓解气道梗阻的方法。请务必尽快安排放疗科会诊。加强营养,使用糖皮质激素减轻水肿和炎症。
祝能迎来转机!有后续问题可以留言,也可以加好友方便沟通。
奉献专业学识,免费答疑解惑,用爱心为病友点亮希望之光。

举报 使用道具

回复 支持 反对
blacktoes  小学四年级 发表于 2025-11-14 14:49:01 来自手机 | 显示全部楼层 来自: 湖南
火爆鸳鸯C28 发表于 2025-11-14 13:32
在经历了多线治疗后,肿瘤的驱动基因“EGFR G719A + EGFR扩增”并未改变,没有出现常见的旁路耐药机制,也没有发生组织学转化,有点棘手。

但是报告中最突出、也可能是最有价值的一个发现是:“检出 DDR 通路基因突变:提示 PD-1/PD-L1 抑制剂获益率高”。也就是说,当这个通路发生突变时,肿瘤细胞自身的DNA修复能力会下降。这会带来两个重要影响:
1.对某些化疗和靶向药更敏感:特别是铂类药物(如卡铂)和PARP抑制剂。
2.可能对免疫治疗更敏感:因为积累的大量基因突变会产生更多“新抗原”,更容易被免疫系统识别。

仅代表个人,首选建议:与主治医生探讨PARP抑制剂联合方案:PARP抑制剂 + 化疗:例如
奥拉帕利/尼拉帕利 + 低剂量的白蛋白紫杉醇或吉西他滨。化疗负责造成DNA损伤,PARP抑制剂阻止损伤修复,形成协同杀伤效应。
PARP抑制剂 + 抗血管生成药物:例如 奥拉帕利 + 安罗替尼。这种无化疗组合可能耐受性更好,同时攻击肿瘤的两个不同弱点。

另外紧急处理呼吸困难:姑息性放疗是目前最快、最有效的缓解气道梗阻的方法。请务必尽快安排放疗科会诊。加强营养,使用糖皮质激素减轻水肿和炎症。
祝能迎来转机!有后续问题可以留言,也可以加好友方便沟通。

你好可以详细沟通下吗

举报 使用道具

回复 支持 反对
累计签到:76 天
连续签到:1 天
[LV.6]超级爱粉
火爆鸳鸯C28  大学一年级 发表于 2025-11-15 12:26:42 | 显示全部楼层 来自: 中国
blacktoes 发表于 2025-11-14 14:49
你好可以详细沟通下吗

可以的
奉献专业学识,免费答疑解惑,用爱心为病友点亮希望之光。

举报 使用道具

回复 支持 反对
善美  小学六年级 发表于 2025-11-15 18:47:05 来自手机 | 显示全部楼层 来自: 河南
吃了七个月阿法替尼一点都没起效吗?七个月时间进展这么快……唉

举报 使用道具

回复 支持 反对
blacktoes  小学四年级 发表于 2025-11-16 11:22:59 来自手机 | 显示全部楼层 来自: 北京
善美 发表于 2025-11-15 18:47
吃了七个月阿法替尼一点都没起效吗?七个月时间进展这么快……唉

一开始有效果,吃完一个月复查肺部肿瘤检查小了很多,但是骨转移了,半年后再查肺部就有进展了,再吃三代药还是没用

                               
登录/注册后可看大图
我也不知道为什么进展这么快

举报 使用道具

回复 支持 反对
blacktoes  小学四年级 发表于 2025-11-16 11:23:28 来自手机 | 显示全部楼层 来自: 北京

你好我怎么跟您联系,回复效率太慢了

举报 使用道具

回复 支持 反对
阳光~  博士导师 发表于 2025-11-16 11:45:35 来自手机 | 显示全部楼层 来自: 湖南
回顾之前治疗,阿法耐药,伏美加量无效,发生肝转,分析,egfr18靶点,二代获益最大,建议后面尝试达克替尼,响应率不低,后面培美加铂加依沃西四次有效,停化疗单独免疫进展,那证明前面四次有效完全是培美和铂啊,这个方案重启即可,现在这个肺部情况真的是一塌糊涂,消炎同步尝试达克➕培美➕铂,大概率有效。紫杉醇和安罗后面再说。

举报 使用道具

回复 支持 反对
blacktoes  小学四年级 发表于 2025-11-16 13:01:37 来自手机 | 显示全部楼层 来自: 北京
阳光~ 发表于 2025-11-16 11:45
回顾之前治疗,阿法耐药,伏美加量无效,发生肝转,分析,egfr18靶点,二代获益最大,建议后面尝试达克替尼,响应率不低,后面培美加铂加依沃西四次有效,停化疗单独免疫进展,那证明前面四次有效完全是培美和铂啊,这个方案重启即可,现在这个肺部情况真的是一塌糊涂,消炎同步尝试达克➕培美➕铂,大概率有效。紫杉醇和安罗后面再说。

是不是依沃西在跟培美和铂化疗有用,单独用就不行呢

举报 使用道具

回复 支持 反对
阳光~  博士导师 发表于 2025-11-16 13:08:04 来自手机 | 显示全部楼层 来自: 湖南
blacktoes 发表于 2025-11-16 13:01
是不是依沃西在跟培美和铂化疗有用,单独用就不行呢

那怎么知道不用伊沃西的时候,培美和铂就无效呢,有没有可能伊沃西只是陪跑呢

举报 使用道具

回复 支持 反对

发表回复

您需要登录后才可以回帖 登录 | 立即注册

本版积分规则

  • 回复
  • 转播
  • 评分
  • 分享
帮助中心
网友中心
购买须知
支付方式
服务支持
资源下载
售后服务
定制流程
关于我们
关于我们
友情链接
联系我们
关注我们
官方微博
官方空间
微信公号
快速回复 返回顶部 返回列表